Ultrasound Series

How It Works: Ultrasound Modes
How It Works: Ultrasound Modes
In order to utilize an ultrasound system to maximum capacity, there are several features diagnosticians and doctors must become familiar with. Ultrasound modes, or options when it comes to ultrasound... Read more...
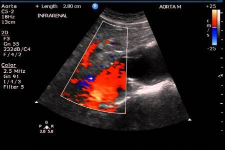
How It Works: Doppler Ultrasound Imaging
How It Works: Doppler Ultrasound Imaging
Ultrasound doppler imaging is the ability to estimate and measure blood flow through various veins, arteries and vessels. Generally portrayed as a moving picture on an ultrasound system screen, one... Read more...
How It Works: Vascular Ultrasound Probes and Transducers
How It Works: Vascular Ultrasound Probes and Transducers
Just like most abdominal and cardiac probes generally have certain lenses that are shaped very specifically (curved and square shaped, respectively), most vascular probes have their tell-tale shape as well.... Read more...
How It Works: Abdominal Ultrasound Probes and Transducers
How It Works: Abdominal Ultrasound Probes and Transducers
The abdominal application on ultrasound machines is employed to help diagnose patients that are having ailments in the abdomen area – which includes but is not limited to the kidneys,... Read more...
How It Works: Cardiac Ultrasound Probes and Transducers
How It Works: Cardiac Ultrasound Probes and Transducers
Cardiac transducers are employed in order to project images of the hearts of various patients. As ultrasound technology has improved and advanced, diagnosticians and sonographers have been capable of examining... Read more...
How It Works: Ultrasound Probes and Transducers
How It Works: Ultrasound Probes and Transducers
Ultrasound probes serve as the primary tools for ultrasound machines. Without the probes, the ultrasound machine is incapable of producing or providing images. The ultrasound machine ultimately serves as a... Read more...